Autores: Dra. Yara Yazmín Ursiel Ortega*; Dr. Diego Alonso Herrera Martínez *.
Coautores: Dr. Antonio Herrera Ortíz **, Dr. Diego González Hernández *, Dra. Yenedith Alicia Castañeda Huerta *.
*Médico Residente del Servicio de Otorrinolaringología y Cirugía de Cabeza y Cuello del Hospital Regional Dr. Valentín Gómez Farías.
**Médico Adscrito del Servicio de Otorrinolaringología y Cirugía de Cabeza y Cuello del Hospital Regional Dr. Valentín Gómez Farías.
Hospital Regional Dr. Valentín Gómez Farías, Instituto de Seguridad y Servicios Sociales de los Trabajadores del Estado, Zapopan, Jalisco.
Av. Soledad Orozco 203, El Capullo, 45100 Zapopan, Jalisco, México.
RESUMEN:
Las malformaciones del oído externo y medio llegan a ser algunos de los padecimientos congénitos más comunes de la práctica otológica, con una tasa de incidencia de 0.05% a 0.1%. La atresia auditiva congénita es más frecuente en masculinos. Así mismo, el colesteatoma representa de 0.1 a 0.5% de todas las enfermedades otológicas. La patogenia del colesteatoma congénito no está clara, sin embargo, existe la hipótesis de que el colesteatoma congénito es un remanente del tejido epitelial embrionario. Se ha observado que los pacientes con atresia auditiva congénita, tienen un mayor riesgo de desarrollar colesteatoma y dicho riesgo es proporcional al diámetro de estenosis.
Se presenta el caso de un femenino de 18 años con anacusia congénita derecha, que presenta aumento de volumen retroauricular derecho y fístula en misma región con salida de secreción purulenta; con diagnóstico final de colesteatoma.
ABSTRACT:
Malformations of the outer and middle ear become some of the most common congenital conditions in otological practice, with an incidence rate of 0.05% to 0.1%. Congenital auditory atresia is more common in males. Likewise, cholesteatoma represents 0.1 to 0.5% of all otological diseases. The pathogenesis of congenital cholesteatoma is not clear, however, it is hypothesized that congenital cholesteatoma is a remnant of embryonic epithelial tissue. It has been observed that patients with congenital auditory atresia have a greater risk of developing cholesteatoma and this risk is proportional to the diameter of the stenosis.
We present the case of an 18-year-old female with congenital right anacusis, who presented an increase in right retroauricular volume and a fistula in the same region with purulent discharge; with a final diagnosis of cholesteatoma.
Palabras clave:
Microtia, Colesteatoma, Malformaciones óticas.
INTRODUCCIÓN:
Las malformaciones del oído externo y medio llegan a ser algunos de los padecimientos congénitos más comunes de la práctica otológica, se presentan con una tasa de incidencia de 0.05% a 0.1% (1). La atresia auditiva congénita es una deformidad del conducto auditivo externo con una incidencia aproximada de 1:15,000 que predomina en masculinos, la cual llega a presentarse bilateral en un 15% (2). Por otro lado, el colesteatoma representa de 0.1 a 0.5% de todas las enfermedades otológicas (3). La edad media de presentación del colesteatoma congénito en la población pediátrica es de 4.9 años (4). La patogenia del colesteatoma congénito no está clara, sin embargo, se encuentra la hipótesis de que el colesteatoma congénito es un remanente del tejido epitelial embrionario (5). Las anomalías del arco branquial son raras, pudiéndose acompañar de anomalías otológicas, llegándose a reportar casos de colesteatoma acompañados de atresia del conducto auditivo externo (6). Se ha observado que los pacientes con atresia auditiva congénita, tienen un mayor riesgo de desarrollar colesteatoma y dicho riesgo es proporcional al diámetro de estenosis. En estudios retrospectivos de pacientes con atresia auditiva congénita se encontró que el 19-48% llegan a presentar colesteatoma en su seguimiento (7).
DESCRIPCION DEL CASO:
Se presenta el caso de un femenino de 18 años, estudiante de preparatoria, con anacusia congénita de oído derecho, sin otros antecedentes de importancia.
Refiere iniciar 2 meses previos a su atención con aumento de volumen en área retroauricular, de aprox. 2 cm, que posteriormente se fistuliza y drena material purulento, amarillento, constante, no progresivo, sin identificar exacerbantes ni atenuantes.
A la exploración se encuentra pabellón auricular derecho de tamaño pequeño, con alteración de su morfología, en área retroauricular se observa fístula con salida de material purulento, color amarillento, fétido, espeso. A la otoscopia se observa conducto auditivo externo estenótico, con presencia de material blanquecino-amarillo, fétido, de consistencia espesa, que obstruye el 100% de la luz (Imagen 1).
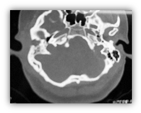
Tomografía simple de oídos con cortes axiales y coronales, en donde se observan celdillas mastoideas derechas poco desarrolladas, no neumatizadas; conducto auditivo sin desarrollo. No se observa adecuadamente la cadena osicular; material isodenso a tejidos blandos, que ocupa el epi-meso-hipotímpano; con resorción del scutum ipsilateral (Imagen 2 e Imagen 3).
En este caso, el diagnóstico de colesteatoma se realizó a los 18 años, por la presentación de una fístula retroauricular. Quien se interviene para su tratamiento quirúrgico, realizándose meatoconchoplastia y mastoidectomia en oído derecho (Imagen 4).
Se cita a paciente en 4 meses con adecuada evolución, se aprecia conducto auditivo externo permeable. (Imagen 5 y 6).
DISCUSIÓN Y COMENTARIOS
El colesteatoma congénito se caracteriza por una lesión blanca, perlada detrás de una membrana timpánica normal, sin presentar antecedente de otorrea, infección o perforación previa de la MT o cirugía.
Por lo general el colesteatoma en la edad pediátrica conlleva mayor dificultad en su manejo y tratamiento. Además, que la tasa de recurrencia es mayor en niños que en adultos (5). Se ha reportado que la tasa de recurrencia del colesteatoma congénito es del 24% y se correlaciona con el tamaño (>4mm), extensión y tratamiento quirúrgico previo aplicado (8). Aunque no exista una duración determinada del seguimiento después de la cirugía del colesteatoma en pacientes pediátricos. Se recomienda un seguimiento postquirúrgico durante varios años (9).
En cuanto a la cirugía reconstructiva de la microtia del oído, suele llevarse a cabo de los 5-12 años de edad. Se ha reportado que la infección después de la reconstrucción de la microtia suele ser un signo de colesteatoma, más aún cuando no responde al tratamiento la infección (7). En este caso, se realizó el procedimiento reconstructivo en una edad más avanzada.
Por lo tanto, pacientes con atresia auditiva deben alertar al otólogo sobre la probabilidad de ocurrencia de colesteatoma e indicar una tomografía computarizada de alta resolución con el fin de un diagnóstico oportuno y así prevenir posibles complicaciones (10).
CONCLUSIONES Y RECOMENDACIONES:
Se recomienda el seguimiento y revisión constante de pacientes con malformaciones otológicas congénitas, para el diagnóstico oportuno de la presentación del colesteatoma. Además, es importante realizar mayor número de estudios para determinar la incidencia de presentación de ambas patologías, así como para determinar el tratamiento de elección.
Ya que en nuestra experiencia solo se ha detectado el caso aquí descrito.
REFERENCIAS BIBLIOGRAFICAS:
(1) Dongming Yin, Chenlong Li, Hong Juan, Jieying Li, Lin Yang, Tianyu Zhang, Peidong Dai, Yin, D., Li, C., Juan, H., Li, J., Yang, L., Zhang, T., & Dai, P: Morphological Characteristics of Osseous External Auditory Canal and Its Relationship With External Auditory Canal Cholesteatoma in Patients With Congenital Aural Stenosis. Otology & Neurotology (2017); 38: 1528–1534.
(2) Moxham, L. M. R., Chadha, N. K., & Courtemanche, D. J: Is there a role for computed tomography scanning in microtia with complete aural atresia to rule out cholesteatoma? International Journal of Pediatric Otorhinolaryngology (2019); 126: 109610.
(3) Abdullah A, Mansor, W. N. W., Paul M., & Hashim, N. D: Canal cholesteatoma in canal stenosis. Journal of Health Sciences (2019); 9: 180–183.
(4) Gilberto N, Custódio S, Colaço T, Santos R, Sousa P, Escada P: Middle ear congenital cholesteatoma: systematic review, meta-analysis and insights on its pathogenesis. European archives of oto-rhino-laryngology (2020); 277(4): 987-998.
(5) Morita, Y., Yamamoto, Y., Oshima, S., Takahashi, K., & Takahashi, S: Pediatric middle ear cholesteatoma: the comparative study of congenital cholesteatoma and acquired cholesteatoma. European Archives of Oto-Rhino-Laryngology (2016); 273(5): 1155–1160.
(6) Abdollahi Fakhim, S., Naderpoor, M., & Mousaviagdas, M: First branchial cleft fistula associated with external auditory canal stenosis and middle ear cholesteatoma. Iranian Journal of Otorhinolaryngology (2014); 26: 263–266.
(7) van Hogezand R. M., Smit A. L., Breugem C. C: Microtia and cholesteatoma: Implications for the reconstructive surgeon. JPRAS Open (2021); 28: 37–42.
(8) Song, I. S., Han, W. G., Lim, K. H., Nam, K. J., Yoo, M. H., Rah, Y. C., & Choi, J: Clinical Characteristics and Treatment Outcomes of Congenital Cholesteatoma. The Journal of International Advanced Otology (2019); 15(3): 386–390.
(9)Demir, E., Atsal, G.,Gülüstan, F., Dalgıç, A. & Olgun, L: Comparison of congenital and acquired cholesteatomas in pediatric patients. Turkish Journal of Ear Nose & Throat (2018); 28(2): 59–65.
(10) Yildirim, N., Sahan, M., & Akkaya, A: Primary Cholesteatoma within the Stenotic Ear Canal: Report of two Cases, one with Extra-Temporal Complications. Journal of International Advanced Otology (2009); 5(2): 281–285.

Imagen 1: A) Zona retroauricular oído derecho con presencia de fístula con salida de material purulento. B) Conducto auditivo externo derecho con secreción blanca-amarilla que obstruye el 100% de la luz

Imagen 2: TC simple de oídos, corte axial; se observa atresia de conducto auditivo externo derecho.

Imagen 3: TC simple de oídos, corte coronal; se observa ocupación de epi-meso-hipotímpano por lesión isodensa a tejidos blandos.

Imagen 4: Mastoidectomia y meatoconchoplastia derecha.

Imagen 5: Seguimiento a los 4 meses.