Autor: Dr. Gustavo González Cabrera R4
Coautor: Dra. Meza Jiménez Pamela R4
Dra. Reyes Mercado Emma Esther R2
Dra. Galindo Tapia María Fernanda R2
Dr. Curiel Lara Wilfrido de Jesús R2
Dr. Acosta Banda Carlos Abel MB
Dr. Roque Moreno Marcos Flavio MB
Dra. Venegas Loya Paulina MB.
Coautor: Dra. Meza Jiménez Pamela R4
Dra. Reyes Mercado Emma Esther R2
Dra. Galindo Tapia María Fernanda R2
Dr. Curiel Lara Wilfrido de Jesús R2
Dr. Acosta Banda Carlos Abel MB
Dr. Roque Moreno Marcos Flavio MB
Dra. Venegas Loya Paulina MB.
Dirección:
Dirección: Av. López Mateos esquina Paseo de los Insurgentes sin número Colonia: los paraísos
C. P. 37320 León Estado: Guanajuato
Dirección: Av. López Mateos esquina Paseo de los Insurgentes sin número Colonia: los paraísos
C. P. 37320 León Estado: Guanajuato
Correspondencia:
Teléfono: 4777174800
E-mail:This email address is being protected from spambots. You need JavaScript enabled to view it.
Institución: Instituto Mexicano del Seguro Social
Hospital: Centro Médico Nacional del Bajío UMAE T1
Teléfono: 4777174800
E-mail:
Institución: Instituto Mexicano del Seguro Social
Hospital: Centro Médico Nacional del Bajío UMAE T1
INTRODUCCIÓN.
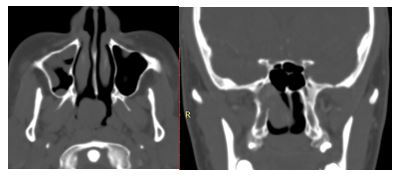
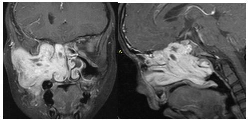
El nasoangiofibroma juvenil es un tumor fibrovascular, que se presenta en pacientes masculinos en etapa de adolescencia principalmente, benigno, con capacidad invasiva y destructiva, con origen en el foramen esfenopalatino y puede tener extensión intracraneal. Se caracteriza por obstrucción nasal, epistaxis y una masa rojiza que protruye de la fosa nasal u orofaringe. Se presentan 5 casos, recabados entre 2017-2018 en CMNB, UMAE T1, León, Gto.
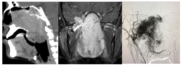
1. 04/2017. Masculino 9 años con obstrucción nasal de inicio gradual, epistaxis recurrente derecha, presentando masa en fosa nasal derecha de 3 años de evolución con extensión a seno maxilar, fosa pterigomaxilar e infratemporal derecha, así como Iisis de piso de orbita. Clasificación IIC (Radkowski) III (Chandler). Se realiza angiografía, embolización desde arteria carótida externa y se realiza resección vía Weber Ferguson, con resección completa del mismo, con buena evolución a 16 meses de posquirúrgico sin recurrencia.
2. 08/2017. Masculino 24 años con obstrucción nasal de inicio gradual, epistaxis recurrente bilateral con masa en cavidad nasal bilateral de 3 años de evolución. TC con extensión a naso y orofaringe, maxilar derecho, fosa pterigomaxilar ipsilateral. Clasificación IIB (Radkowski) III (Chandler). Se realiza angiografía, embolización, y resección vía Degloving mediofacial, resección completa, buena evolución a 1 año de posquirúrgico, sin recurrencia.
3. 10/2017. Masculino 17 años con obstrucción nasal de inicio gradual, epistaxis recurrente derecha, masa la cavidad nasal bilateral y abombamiento de paladar blando de 4 años de evolución. TC y RM con extensión a naso y orofaringe con extensión a seno maxilar, fosa pterigomaxilar, infratemporal derecha y extensión intracraneal mínima. Clasificación IIIA (Radkowski) IV (Chandler). Se realiza angiografía, embolización de ramas de carótida externa bilateral, y resección vía endoscópica, transpalatina y Degloving, resección de 95% de tumor con tumor residual en fosa infratemporal, posterior radioterapia, con reducción gradual de tumor en los últimos 8 meses.
4. 03/2018. Masculino 16 años con obstrucción nasal de inicio gradual, epistaxis recurrente izquierda, masa la cavidad nasal bilateral y abombamiento de paladar blando de 3 años de evolución. TC y RM con extensión a seno maxilar izquierdo fosa infratemporal, fisura infraorbitaria e intracraneal izquierdo. Clasificación IIIA (Radkowski) IV (Chandler). Se realiza angiografía, embolización y resección vía Degloving, con resección completa de tumor, buena evolución posquirúrgica a 6 meses, sin recurrencia.
5. 05/2018. Masculino 22 años con obstrucción nasal de inicio gradual, epistaxis recurrente derecha, con masa fosa nasal ipsilateral que obstruye coana. TC con dependencia de pared lateral derecha. Clasificación IIA (Radkowski) I (Chandler). Se realiza angiografía y embolización de ramas de carótida externa ipsilateral, así como resección vía endoscópica con resección completa y buena evolución posquirúrgica a 3 meses, sin recurrencia.
RESULTADOS.
Son 5 pacientes de sexo masculino de entre 9 y 24 años, con clasificación Radkowski IIA-IIIA. 4 fueron de origen derecho y 1 de origen izquierdo. Se realizó 1 resección endoscopia, 2 vía Degloving, 1 vía Weber Ferguson y 1 resección vía endoscópica/Degloving/Transpalatina. 4 resecciones completas y 1 parcial.
DISCUSIÓN. Todos los pacientes fueron evaluados con TC y angiografía, a todos se les realizo embolización de las ramas nutricias de la carótida externa. La resección endoscópica se realizó en el tumor IIA, mientras que la vía Degloving se utilizó en 2 pacientes con tumores IIB y IIIA, se realizó una resección vía Weber Ferguson en un paciente con tumor IIC. La resección fue completa en los tumores IIA-IIIA y solo una parcial en un tumor IIIA, la recurrencia ha sido nula en todos los casos.
CONCLUSIÓN.
CONCLUSIÓN.
Por las características del tumor, si se realiza un diagnóstico temprano, una buena embolización, el tratamiento quirúrgico es menos complejo y con menos morbi-mortalidad, el éxito de la cirugía depende de la experiencia del cirujano y la evaluación previa para determinar el manejo quirúrgico requerido, en nuestra unidad CMNB, UMAE T1, León, Gto, se tiene una incidencia aproximada de 3-6 casos por año, con buenos resultados a largo plazo, con recurrencia mínima.
Referencias
1. Lee J.T., Chen P., Safa A., Juillard G., Calcaterra T.C. The role of radiation in the treatment of advanced juvenile angiofibroma. Laryngoscope. 2002; 112:1213-20
2. Ungkanont K., Byers R.M., Weber R.S., Callender P.F., Wolf 6.-P.F., Goepfert H. Juvenile nasopharyngeal angiofibroma: An update of therapeutic management. Head Neck. 1996;18:60-6.
3. Harper C., Morris J., Lee P., Cloft H. Progressive epistaxis in two young males: Classic presentations of juvenile nasopharyngeal angiofibroma in unusual locations. Neuroradiology. 2010;52:419-20.
4. Snyderman CH, Pant H, Gardner PA. Juvenile angiofibroma. In: Meyers EN, Snyderman CH, eds. Operative Otolaryngology: Head and Neck Surgery. 3rd ed. Philadelphia, PA: Elsevier; 2018:chap 122.
5. Hyun D.W., Ryu J.H., Kim Y.S., Kim K.B., Kim W.S., Kim C.H., et al. Treatment outcomes of juvenile nasopharyngeal angiofibroma according to surgical approach. Int J Ped Otorhinolaryngol. 2011;75:69-73.
6. Midilli R., Karci B., Akyildiz S. Juvenile nasopharyngeal angiofibroma: Analysis of 42 cases and important aspect of endoscopic approach. Int J Ped Otorhinolaryngol. 2009;73:401
7. Herman P., Lot G., Chapot R., Salvan D., Huy P.T. Long-term follow-up of juvenile nasopharyngeal angiofibromas: Analysis of recurrences. Laryngoscope. 1999;109:140-
8. Manuel Bernal-Sprekelsena, Isam Alobida, José-María Guilemanya Angiofibroma juvenil, Acta Otorrinolaringológica Española. Vol. 58. Núm. S1. páginas 84-95 (Octubre 2007)
9. Tyagi I., Syal R., Goyal A. Recurrence and residual juvenile angiofibromas. J Laryngol Otol. 2007;121:460-7.
2. Ungkanont K., Byers R.M., Weber R.S., Callender P.F., Wolf 6.-P.F., Goepfert H. Juvenile nasopharyngeal angiofibroma: An update of therapeutic management. Head Neck. 1996;18:60-6.
3. Harper C., Morris J., Lee P., Cloft H. Progressive epistaxis in two young males: Classic presentations of juvenile nasopharyngeal angiofibroma in unusual locations. Neuroradiology. 2010;52:419-20.
4. Snyderman CH, Pant H, Gardner PA. Juvenile angiofibroma. In: Meyers EN, Snyderman CH, eds. Operative Otolaryngology: Head and Neck Surgery. 3rd ed. Philadelphia, PA: Elsevier; 2018:chap 122.
5. Hyun D.W., Ryu J.H., Kim Y.S., Kim K.B., Kim W.S., Kim C.H., et al. Treatment outcomes of juvenile nasopharyngeal angiofibroma according to surgical approach. Int J Ped Otorhinolaryngol. 2011;75:69-73.
6. Midilli R., Karci B., Akyildiz S. Juvenile nasopharyngeal angiofibroma: Analysis of 42 cases and important aspect of endoscopic approach. Int J Ped Otorhinolaryngol. 2009;73:401
7. Herman P., Lot G., Chapot R., Salvan D., Huy P.T. Long-term follow-up of juvenile nasopharyngeal angiofibromas: Analysis of recurrences. Laryngoscope. 1999;109:140-
8. Manuel Bernal-Sprekelsena, Isam Alobida, José-María Guilemanya Angiofibroma juvenil, Acta Otorrinolaringológica Española. Vol. 58. Núm. S1. páginas 84-95 (Octubre 2007)
9. Tyagi I., Syal R., Goyal A. Recurrence and residual juvenile angiofibromas. J Laryngol Otol. 2007;121:460-7.