AUTOR: DR. DAVID ALEJANDRO NORIEGA TRUJILLO
COAUTORES: DRA. IVONNE AIRANCENY
GAITÁN NUÑO/ DR LUIS HUMBERTO GOVEACAMACHO
COAUTORES: DRA. IVONNE AIRANCENY
GAITÁN NUÑO/ DR LUIS HUMBERTO GOVEACAMACHO
HE CMNO– INSTITUTO MEXICANO DEL SEGURO SOCIAL.
SERVICIO DE OTORRINOLARINGOLOGÍA Y CIRUGÍA DE CABEZA Y CUELLO
SERVICIO DE OTORRINOLARINGOLOGÍA Y CIRUGÍA DE CABEZA Y CUELLO
Correspondencia:
Ivonne Airanceny Gaitán Nuño, Residente de Primer Año, Otorrinolaringología y Cirugía de Cabeza y Cuello
HE CMNO– Instituto Mexicano del Seguro Social.
E-mail:This email address is being protected from spambots. You need JavaScript enabled to view it.
Ivonne Airanceny Gaitán Nuño, Residente de Primer Año, Otorrinolaringología y Cirugía de Cabeza y Cuello
HE CMNO– Instituto Mexicano del Seguro Social.
E-mail:
REFERENCIAS Y CONFIGURACIÓN ANATÓMICA DEL NERVIO FACIAL EN PACIENTES POST OPERADOS DE PAROTIDECTOMIA SUPRANEURAL; SERIE DE CASOS.
AUTOR: DR. DAVID ALEJANDRO NORIEGA TRUJILLO.
COAUTORES: DRA. IVONNE AIRANCENY GAITÁN NUÑO
DR LUIS HUMBERTO GOVEA CAMACHO
COAUTORES: DRA. IVONNE AIRANCENY GAITÁN NUÑO
DR LUIS HUMBERTO GOVEA CAMACHO
RESUMEN
INTRODUCCIÓN: En la porción extratemporal, el tronco principal del nervio facial corre a través del parénquima parotídeo donde se divide en una rama temporofacial superior y una cervicofacial inferior, la división superior a su vez en rama temporal, cigomático y bucal. La división inferior en la rama marginal mandibular y cervical. Anatomistas han tratado de buscar una clasificación que unifique e integre los diferentes patrones nerviosos observados durante la disección, en 1956, Davis et al., estudiaron una muestra de 350 nervios faciales y propusieron seis patrones diferentes.
OBJETIVOS:
Describir la anatomía del nervio facial disecado en su porción extratemporal en pacientes postoperados de parotidectomía supraneural en nuestro servicio.
MATERIAL Y MÉTODOS:
Estudio descriptivo transversal, pacientes intervenidos de parotidectomía supraneural en el servicio de otorrinolaringología de centro médico nacional de occidente en el periodo de junio 2017 a junio 2018 en los que el nervio facial extrapetroso fue disecado, como parte del manejo quirúrgico requerido por patología basal del paciente.
RESULTADOS:
Se estudiaron 10 pacientes, edad 23 a 70 años, (media 52 años), cada nervio facial disecado en su porción extratemporal, se encontraron dos troncos principales, temporofacial y cervicofacial. se dividieron en cinco ramas
terminales, de acuerdo a comparación con clasificaciones previas (Davis et al.) identificamos el patrón tipo 1 como el más frecuente (n=5, 50%), además, es importante considerar las referencias anatómicas para la identificación del tronco principal del nervio facial en su salida del agujero estilo mastoideo, así como cuál de ellas puede resultar la más objetiva durante la cirugía para dicho propósito.
terminales, de acuerdo a comparación con clasificaciones previas (Davis et al.) identificamos el patrón tipo 1 como el más frecuente (n=5, 50%), además, es importante considerar las referencias anatómicas para la identificación del tronco principal del nervio facial en su salida del agujero estilo mastoideo, así como cuál de ellas puede resultar la más objetiva durante la cirugía para dicho propósito.
CONCLUSIONES:
Existe una extensa variabilidad en la anatomía del nervio facial, dicha distribución plexiforme podría ser un problema durante la cirugía de la glándula parótida, causando una lesión en el nervio si el cirujano no tiene conocimiento de las diferentes variaciones en su configuración, además, es preciso considerar la búsqueda orientada de las referencias anatómicas utilizadas para la localización del tronco principal del nervio facial en su salida por el agujero estilomastoideo durante la cirugía, para su correcta disección, evitando de esta forma su lesión inadvertida.
INTRODUCCION
Reconocer la anatomía del nervio facial nos permite conocer con precisión las zonas por la que discurre para evitar provocar daños adversos durante la cirugía de parotidectomía supraneural.
El nervio facial suministra a la cara todos los impulsos motores, excepto los que inervan al músculo de müller, a los músculos oculares y a los de la masticación, asimismo es secretor para las glándulas salivales y aporta la sensibilidad gustativa a los dos tercios anteriores de la lengua. En la porción extratemporal, el tronco principal del nervio facial co- rre a través del parénquima parotídeo donde se divide en una rama temporofacial superior y una cervicofacial inferior, la división superior a su vez se subdivide en otras ramas más finas que van a inervar a los músculos de la frente y cejas (rama temporal), a los músculos cigomáticos y orbicular (rama cigo- mática), ala de la nariz y boca (rama bucal). la división cervico- facial inferior a su vez en la rama marginal mandibular y cervical.1-2.
Algunos anatomistas han tratado de buscar una clasificación que unifique e integre los diferentes patrones nerviosos observados durante la disección, desde 5 patrones nerviosos (dargent y duroux, 1946) a ocho (mccormack et al., 1945; pons-tortella, 1947) y otras clasificaciones basadas en tipos de troncos dobles (kopuz et al., 1994) o según el origen de la rama bucal (kwak et al., 2004). sin embargo, en este trabajo se tomó como referencia la clasificación de Davis et al., (1956) quienes estudiaron una muestra de 350 nervios faciales y pro- pusieron seis patrones diferentes de acuerdo a las conexiones entre
las ramas terminales .4-5
La variabilidad en la anatomía del nervio facial, puede aumentar la probabilidad de parálisis después de la cirugía de parotidectomía supraneural si el cirujano no tiene conocimiento de las diferentes variaciones anatómicas de su configuración así como de las referencias anatómicas para identificar el tronco principal del nervio desde su salida del agujero estilomastoideo, Por lo tanto, hemos realizado este estudio revisando algunas clasificaciones en las diferentes disposiciones de dicho nervio y sus ramas terminales, y hemos comparado con algunos de nuestros propios casos con un propósito clínico.
MATERIAL Y MÉTODOS
Se realizó un estudio descriptivo transversal, con 10 casos de pacientes intervenidos de parotidectomia supraneural en el servicio de otorrinolaringología y cirugía de cabeza y cuello de centro médico nacional de occidente en el periodo de junio 2017 a junio 2018 en los que el nervio facial extrapetroso fue disecado.
Se trató de un total de 10 pacientes adultos, 5 masculinos y 5 femeninos, en 6 casos se presentó patología parotídea izquierda (4 hombres y 2 mujeres) y 4 casos patología parotídea derecha (1 hombres y 3 mujeres). en dichos pacientes se planeó la realización de parotidectomía supraneural como parte del manejo quirúrgico requerido por la patología basal, con la disección necesario del nervio facial en su porción extratemporal para mostrar la disposición anatómica del mismo, estudiando sus relaciones anatómicas y curso de las subdivisiones terminales en la que se utilizó la clasificación de davis et al., (1956)
RESULTADOS
El total de pacientes documentados dentro del periodo en estudio fue de diez casos, con una edad de entre 23 a 70 años, (media 52 años).
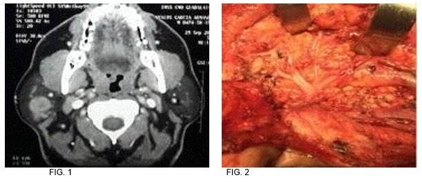
Caso 1: Masculino 49 años de edad, antecedente de tabaquismo e hipertensión, tumor parotídeo derecho de 5x3.5x2.5 pétrea. fue sometido a parotidectomía supraneural, resultando en melanoma maligno nodular con patrón sarcomatoide. (FIG. 1-2)
Caso 1: Masculino 49 años de edad, antecedente de tabaquismo e hipertensión, tumor parotídeo derecho de 5x3.5x2.5 pétrea. fue sometido a parotidectomía supraneural, resultando en melanoma maligno nodular con patrón sarcomatoide. (FIG. 1-2)
Caso 2: Femenino 40 años de edad, antecedente de hipertensión e hipotiroidismo, con tumor izquierdo 4 x 5 cm. fue sometido a parotidectomía supraneural, resultando en adenoma pleomorfo. (FIG. 3-4)
Caso 3: femenino 70 años de edad, antecedente de hipertensión, tabaquismo, diabetes mellitus y dislipidemia, con tumor parotídeo izquierdo de 6cm en su eje mayor, resultando en tumor de Warthin. (FIG. 5-6)
Caso 4: masculino 56 años de edad, antecedente de diabetes mellitus, tabaquismo e hiperplasia prostática, con tumor parotídeo izquierdo de 3cm en su eje mayor, resultando en adenoma pleomorfo. (FIG. 7-8)
Caso 5: femenino de 56 años de edad, antecedente de diabetes mellitus y dislipidemia con tumor parotídeo derecho de 4x5 cm, resultando en oncocitoma parotídeo. (FIG. 9-10)
Caso 6: masculino de 23 años de edad, sin antecedentes de importancia, con tumor parotídeo izquierdo sometido a parotidectomía supraneural resultando en adenoma pleomorfo. (FIG. 11-12)
Caso 7: femenino de 62 años de edad, antecedente de hipertensión arterial, con tumor parotídeo derecho de 7 x 6cm, resultando en adenoma pleomorfo. (FIG. 13-14)
Caso 8: masculino de 59 años de edad, antecedente de diabetes mellitus y tabaquismo con tumor parotídeo izquierdo de 3cm en su eje mayor resultando en tumor de Warthin (FIG. 15-16)
Caso 9: masculino de 64 años de edad, antecedente de diabetes mellitus 2, tabaquismo y etilismo con tumor parotídeo izquierdo de 4cm en su eje mayor resultando en tumor de warthin.
Caso 10: femenino de 45 años de edad, sin antecedentes clínicos de importancia, con tumor parotídeo derecho de 8cm en su eje mayor, resultando en un adenoma pleomorfo. (FIG. 19-20)
Referencias anatómicas más importantes para identificación de tronco principal de nervio facial en su salida por agujero estilomastoídeo (FIG. 21):
RESULTADOS:
el estudio histopatológico demostró la presencia de cinco casos de adenoma pleomorfo (n=5, 50%), tres casos de tumor de Warthin (n=3, 30%), un caso de melanoma maligno nodular (n=1, 10%), y otro caso de oncocitoma parotídeo (n=1, 10%). 6 casos presentaron patología parotídea izquierda (4 hombres y 2 mujeres) y 4 casos derecha (1 hombre y 3 mujeres).
El patrón de configuración encontrado fue de la siguiente manera:
La media en distancia del pointer al agujero estilomastoideo fue de: 8.6 mm. sin embargo hubo 1 caso en el que se encontraba a solo 6mm del mismo.
DISCUSIÓN
Después de que el nervio facial emerge del foramen estilomastoideo, emite ramas al vientre posterior del músculo digástrico y luego corre a través del parénquima del tejido parotídeo entre lóbulo profundo y superficial hasta que emerge más allá del borde anterior de la glándula para continuar hasta los músculos faciales. 2
El músculo digástrico y el puntero tragal son puntos de referencia útiles para encontrar el tronco principal del nervio facial, pues e s t e n e r v i o s a l e del
f o r a m e n estilomastoideo inmediatamente posterior al proceso estiloide y entra a la glándula parótida inmediatamente anterior a la inserción del músculo digástrico en la punta mastoidea. para el reconocimiento del tronco principal del nervio fa c i a l s e iden t i f i c a apr o x i m a d a m e n t e 1c m m e d i a l anteroinferior al puntero tragal. 1,5
f o r a m e n estilomastoideo inmediatamente posterior al proceso estiloide y entra a la glándula parótida inmediatamente anterior a la inserción del músculo digástrico en la punta mastoidea. para el reconocimiento del tronco principal del nervio fa c i a l s e iden t i f i c a apr o x i m a d a m e n t e 1c m m e d i a l anteroinferior al puntero tragal. 1,5
La conservación de la integridad del nervio facial dentro de la patología tumoral en glándula parótida requiere que los abordajes quirúrgicos se realicen sólo tras haber identificado en primer lugar el nervio facial. por tanto, el objetivo de la cirugía de la glándula parótida en caso de lesiones benignas es extirpar toda la neoplasia sin lesionar el nervio facial. Para ello, lo mejor es realizar una parotidectomía superficial con disección del nervio facial. 5
En esta serie de casos cada paciente fue intervenido de parotidectomía supraneural debido a patología tumoral en glándula parótida. en los que el nervio facial fue disecado en su porción extratemporal.
Se utilizó la clasificación de Davis et al., (1956) para la distribución del nervio facial en su porción extratemporal. (fig. 33) y de acuerdo a comparación con esta clasificación identificamos en nuestros pacientes el patrón tipo i fue el más frecuente (n=5, 50%), seguido de la configuración tipo v (n=3, 30%)
FIG. 24 LOS TIPOS PRINCIPALES DE RAMIFICACIÓN DEL NERVIO FACIAL, COMO DESCRIBEN DAVIS ET AL.
En cada caso se encontraron dos troncos principales temporofacial y cervicofacial descritas en la literatura, los cuales hacia su porción distal se dividieron en cinco o más ramas terminales.
Las ramas temporales del nervio facial se encuentran anteroinferior a la arteria superficial temporal, por lo que resulta en un punto de referencia importante para preservar la rama temporal. La rama cigomática transcurrió en todos los casos debajo y paralelo al arco cigomático hasta llegar a la parte inferior del músculo orbicular. La rama bucal corre paralela al conducto parotídeo hacia el músculo buccinador. El origen de la rama bucal ha sido reportada como la más variable de las ramas faciales terminales, por lo tanto, se ha utilizado por algunos autores para clasificar el nervio facial en diferentes patrones de ramificación (Katz y Catalano, 1987;
kwak et al., 2004). 3 Dentro de nuestra descripción encontramos
su origen con mayor frecuencia en el tronco temporofacial (n=5, 50%), en otros tres nervios surgió del tronco cervicofacial (30%) y en una minoría presentó un origen como una raíz doble de ambas divisiones que se unen para formar una sola rama bucal (n=2, 20%). la rama marginal pasa sobre la arteria facial cuando cruza el límite inferior de la mandíbula, en los diez casos se encontró una rama única. En nuestros pacientes, como se menciona en la literatura, se tomaron en cuenta las principales referencias anatómicas como lo son la apófisis vaginal del cartílago tragal, la cual presento distancia promedio de 8.2mm, encontrando un caso en el que este se encontraba a tan solo 6mm del pointer y otros mas en los que la distancia era del doble de esta última mencionada, por lo que esta variabilidad obliga a tomar en cuenta otras referencias importantes en la ubicación del nervio, además de las clásicas, como lo es la apófisis estiloides así como la punta de la mastoides, las cuales invariablemente permiten localizar de forma confiable y segura la salida del NERVIO FACIAL A SU SALIDA DEL agujero estilomastoideo.
CONCLUSIONES
Las ramas temporales del nervio facial se encuentran anteroinferior a la arteria superficial temporal, por lo que resulta en un punto de referencia importante para preservar la rama temporal. La rama cigomática transcurrió en todos los casos debajo y paralelo al arco cigomático hasta llegar a la parte inferior del músculo orbicular. La rama bucal corre paralela al conducto parotídeo hacia el músculo buccinador. El origen de la rama bucal ha sido reportada como la más variable de las ramas faciales terminales, por lo tanto, se ha utilizado por algunos autores para clasificar el nervio facial en diferentes patrones de ramificación (Katz y Catalano, 1987;
kwak et al., 2004). 3 Dentro de nuestra descripción encontramos
su origen con mayor frecuencia en el tronco temporofacial (n=5, 50%), en otros tres nervios surgió del tronco cervicofacial (30%) y en una minoría presentó un origen como una raíz doble de ambas divisiones que se unen para formar una sola rama bucal (n=2, 20%). la rama marginal pasa sobre la arteria facial cuando cruza el límite inferior de la mandíbula, en los diez casos se encontró una rama única. En nuestros pacientes, como se menciona en la literatura, se tomaron en cuenta las principales referencias anatómicas como lo son la apófisis vaginal del cartílago tragal, la cual presento distancia promedio de 8.2mm, encontrando un caso en el que este se encontraba a tan solo 6mm del pointer y otros mas en los que la distancia era del doble de esta última mencionada, por lo que esta variabilidad obliga a tomar en cuenta otras referencias importantes en la ubicación del nervio, además de las clásicas, como lo es la apófisis estiloides así como la punta de la mastoides, las cuales invariablemente permiten localizar de forma confiable y segura la salida del NERVIO FACIAL A SU SALIDA DEL agujero estilomastoideo.
CONCLUSIONES
Existe una extensa variabilidad en la anatomía del nervio facial, con distintos patrones de distribución plexiforme del mismo, lo cual podría ser un problema durante la cirugía de la glándula parótida causando una lesión en el nervio si el cirujano no tiene conocimiento de las diferentes variaciones anatómicas, así como la búsqueda orientada de las referencias anatómicas utilizadas de forma más objetiva para la visualización del tronco principal del nervio facial durante la cirugía y la correcta disección del mismo, evitando su lesión de forma inadvertida.
En la literatura se encuentran distintas clasificaciones complejas y poco prácticas sobre el patrón de distribución en las ramas terminales del nervio facial e incluso se han descrito hasta 12 tipos diferentes, mismas que no pueden ajustarse exactamente a cada nervio observado en una disección. de esto surge la necesidad de recurrir a una forma en que estudiamos la anatomía del nervio facial extracraneal mucho más práctica, volviendo a las distribuciones clásicas de descripción de las ramas terminales o quizás estudiarlo por regiones, en lugar de clasificaciones complejas difíciles de memorizar, lo cual sería mucho más útil en términos clínicos para lograr un mejor conocimiento anatómico, para prevenir la lesión de una rama durante la cirugía teniendo presentes los puntos de riesgo, asi como conocer la relevancia clínica de las referencias anatómicas más importantes para la identificación del tronco principal del nervio, considerando además de las regencias clásicas como lo es el pointer y el vientre posterior del musculo digástrico, consideradas referencias clásicas, la punta de la mastoides así como la apófisis estiloides, las cuales se muestran invariables en relación al nervio facial y su emergencia extratemporal.
En la literatura se encuentran distintas clasificaciones complejas y poco prácticas sobre el patrón de distribución en las ramas terminales del nervio facial e incluso se han descrito hasta 12 tipos diferentes, mismas que no pueden ajustarse exactamente a cada nervio observado en una disección. de esto surge la necesidad de recurrir a una forma en que estudiamos la anatomía del nervio facial extracraneal mucho más práctica, volviendo a las distribuciones clásicas de descripción de las ramas terminales o quizás estudiarlo por regiones, en lugar de clasificaciones complejas difíciles de memorizar, lo cual sería mucho más útil en términos clínicos para lograr un mejor conocimiento anatómico, para prevenir la lesión de una rama durante la cirugía teniendo presentes los puntos de riesgo, asi como conocer la relevancia clínica de las referencias anatómicas más importantes para la identificación del tronco principal del nervio, considerando además de las regencias clásicas como lo es el pointer y el vientre posterior del musculo digástrico, consideradas referencias clásicas, la punta de la mastoides así como la apófisis estiloides, las cuales se muestran invariables en relación al nervio facial y su emergencia extratemporal.
BIBLIOGRAFÍA
1. Flint, P., Haughey, B., Lund, V., Niparko, J., Robbins, T., Thomas, R., & Lesperance, M.. (2015). Cummings otolaryngology–head & neck surgery. Philadelphia: Elsevier Saunders. pp. 1275-1277. 6th ed.
1. Flint, P., Haughey, B., Lund, V., Niparko, J., Robbins, T., Thomas, R., & Lesperance, M.. (2015). Cummings otolaryngology–head & neck surgery. Philadelphia: Elsevier Saunders. pp. 1275-1277. 6th ed.
2. Rodríguez, M., Saynes, F., & Hernéndez, G. (2009). Otorrinolaringología y cirugía de cabeza y cuello. México: Mc Graw Hill. p. 20, 44.
3. Martínez Pascual, P., Maranillo, E., Vázquez, T., Simon de Blas, C., Lasso, J. and Sanudo, J. (2018). Extracranial Course of the Facial Nerve Revisited. The Anatomical Record.
4. Bendella, H., Spacca, B., Rink, S., Stoffels, H., Nakamura, M., Scaal, M., Heinen, H., Guntinas-Lichius, O., Goldbrunner, R., Grosheva, M. and An- gelov, D. (2017). Anastomotic patterns of the facial parotid plexus (PP) A human cadaver study. Annals of Anatomy - Anatomischer Anzeiger, 213, pp.52-61.
5. E. Myers (2010). Otorrinolaringología quirúrgica: Cirugía de cabeza y cuello, España, Elsevier Saunders. pp. 511-523 2nd Ed.